Samhain Progeny

This litter I chose to honor Celtic mythology.

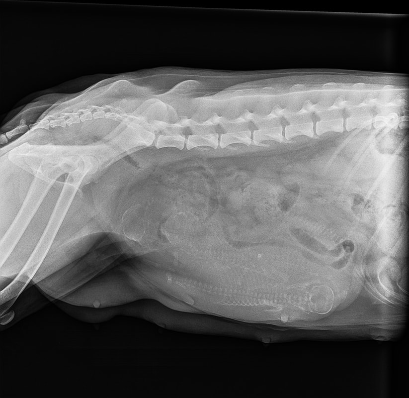
This is day 55! The x-ray showed four! We were so excited!
The Samhain Litter
Born October 31st, 2024

□ The Mythology Behind the Samhain Litter
"When the veil between worlds grows thin — spirits walk among the living."
![]() |
![]() |
We have two white males, one cream female and one blue or silver female.
Sticking with Celtic mythology and Samhain, we have chosen the names below:
Nuada or "Ada"
The biggest white male. His color is dark blue.
Puca
The whitest and smallest puppy, the second male. His color is teal (appearing as a brighter blue).
Morrigan
The dark female. Her color is purple.
Maeve
The cream female. Her color is pink.
Tenth Week of Life
![]() |
![]() |

Ninth Week of Life
![]() * ![]() ![]() |
![]() ![]() * ![]() |
![]() |
![]() |

Eighth Week of Life
Seventh Week of Life
![]() |
![]() |
![]() |
![]() |
![]() |
Sixth Week of Life

![]() |
![]() |
![]() |
![]() |
![]() |

Fifth Week of Life

![]() ![]() ![]() ![]() ![]() ![]() ![]() ![]() ![]() ![]() ![]() ![]() ![]() ![]() ![]() ![]() ![]() ![]() ![]() ![]() ![]() ![]() ![]() |
![]() ![]() ![]() ![]() ![]() ![]() ![]() ![]() ![]() ![]() ![]() ![]() ![]() ![]() ![]() ![]() ![]() ![]() ![]() ![]() ![]() ![]() ![]() ![]() ![]() ![]() ![]() |
Fourth Week of Life
(21-28 days)
Current Time 0:00
/
Duration Time 0:00
Remaining Time -0:00
Loaded: 0%
Progress: 0%
00:00
0:00
Fullscreen
00:00
Mute
Subtitles
- subtitles off
Captions
- captions off
Chapters
- Chapters
Current Time 0:00
/
Duration Time 0:00
Remaining Time -0:00
Loaded: 0%
Progress: 0%
00:00
0:00
Fullscreen
00:00
Mute
Subtitles
- subtitles off
Captions
- captions off
Chapters
- Chapters
Third Week of Life
(14-21 days)
Three weeks already!
Development Update
They are getting better at lapping! Some of them have teeth bursting out. They are all gaining and growing so fast.
We did the first face and paw trim right at 14 days. I use a longer length on the clippers and we run them back over every 3 days from this point forward.
Daily Enrichment & Desensitization
We experience multiple new stimuli each and every day. Some examples include:
Blow dryer
Sirens
Storms
Firecrackers □
Crowds
Traffic noises
Trains
Vacuum
High pressure dryer
Dremel sounds
Music (all genres)
Gunshots
Wildlife noises
Farm noises
Domestic noises
Baby noises
Cooking sounds
Textured surfaces
Wet feet
Car rides
Stroller rides
Meeting new people
Meeting Auntie Nyx
Sling carries
3 different play areas
The puppy gym
...and more!
I aim for 3 experiences and 3 sensory experiences a day at minimum.
Milestones & Behavior
Puppies have mostly mastered walking and went straight to charging with abandon! All of the puppies are very inquisitive and adventurous. They come charging now when I call for the "littles."
I use a mix of homemade puppy formula using goat milk and Breeders' Choice powdered formula. Momma and puppy both partake at milk time. While the puppies enjoy milk time, they still prefer momma over lapping. No introduction of solid food yet as momma is still happily feeding them.
They realize they have siblings and have decided the best form of interaction is to chew on each other. Interest is being shown in toys and they want to put EVERYTHING in their mouths.
Cuddle sessions are more rewarding, as they stare with those big brown eyes and give puppy breath freely now. □
Potty Training Progress
They are doing amazing with keeping the "den" area clean and using the potty pads. We are transitioning to litter (I use alfalfa pellets) this week. Stay tuned for that update!
Second Week of Life
(7-14 days)
Puppies have more fur and are moving better. They still make adorable baby noises. Be still my heart!
All of the puppies have open eyes by 8 days and hearing by 12 days! We begin desensitization to visual and auditory stimuli at this point! This is earlier than I expected, but we are off to a great start.
Clippers are ran over paws, body and face daily from day 10 forward.
Puppies are all gaining weight steadily. We started learning how to lap. They have not quite figured out that the milk is only processed through the mouth and often decide to plop a paw or entire body in. I am sure they will figure it out in no time!
We went to the Vet to be checked on and see how our tails are at 14 days, everything is going great!






![]() |
![]() |
![]() |
![]() |
![]() |
![]() |
![]() |
![]() |
![]() |
![]() |
![]() |
![]() |
![]() |
![]() |
![]() |
![]() |
![]() |
![]() |
![]() |
![]() |
![]() |
![]() |
![]() |
![]() |
![]() |
![]() |
![]() |
![]() |
![]() |
![]() |
![]() |
![]() |
![]() |
![]() |
![]() |
![]() |
![]() |
![]() |
![]() |
![]() |
![]() |
![]() |
![]() |
![]() |
![]() |
![]() |
![]() |
![]() |
![]() |
![]() |
![]() |
![]() |
![]() |
![]() |
![]() |
![]() |
![]() |
![]() |
![]() |
![]() |
![]() |
![]() |
![]() |
![]() |
![]() |
![]() |
![]() |
![]() |
![]() |
![]() |
![]() |
![]() |
![]() |
![]() |
![]() |
![]() |
![]() |
![]() |
![]() |
![]() |
![]() |
![]() |
![]() |
![]() |
![]() |
![]() |
![]() |
![]() |
![]() |
![]() |
![]() |
![]() |
![]() |
![]() |
![]() |
First Week of Life
(Birth to 7 days)
This is the week they exist to be little heat seeking missiles. Warmth is the priority at this age, and I keep my entire house at 75 degrees. I also have a heating pad in the whelping box and an additional heater on hand.
Momma was being excellent as expected! Such a good momma!
At three days, we loaded up in the incubator and headed to the vet to get our tail show length. We do keep our dew claws.
At day 5 we begin ESI and ENS, we will continue until 16 days of age. We wait a few days after the vet appointment, as their little bodies are already stressed, and we do not need to overload with additional stimulation.
Newborn Glamour Shoot
Enjoy the photo dump of the litter! No one is labeled, these are just photos I took of them during the first week.






![]() |
![]() |
![]() |
![]() |
![]() |
![]() |
![]() |
![]() |
![]() |
![]() |
![]() |
![]() |
![]() |
![]() |
![]() |
![]() |
![]() |
![]() |
![]() |
![]() |
![]() |
![]() |
![]() |
![]() |
![]() |
![]() |
![]() |
![]() |
![]() |
![]() |
![]() |
![]() |
![]() |
![]() |
![]() |
![]() |
![]() |
![]() |
![]() |
![]() |
![]() |
![]() |
![]() |
![]() |
![]() |
![]() |
![]() |
![]() |
![]() |
![]() |
![]() |
![]() |
![]() |
![]() |
![]() |
| Meet the Dam "Raiju" → | Meet the Sire "Joel" → |
So Happy to Have Welcomed the Samhain Puppies
These Celtic-named cuties were raised with love, intention, and the Puppy Culture protocol from day one. They're confident, curious, and have found excellent matches with forever families. If you are interested in seeing more from our kennel, we're happy you're here.
Your next adventure starts here.

![]() |
![]() |
![]() |

Poodles of the Pantheon

















































































































































































































































































































































































































